歯がしみる原因と治療法

Menu by Trouble

  • 知覚過敏(象牙質知覚過敏症)

    知覚過敏

    主に冷たいものを摂取すると歯がしみる。虫歯や歯軋り・食いしばり(顎関節症)、歯周病による歯茎下がり、片噛みのしすぎによって発生する。

  • 歯周炎・歯肉炎

    歯周炎・歯肉炎

    冷たいものや温かいものを口に含むと歯がしみる。ものを噛むと歯が痛むこともある。

  • むし歯

    むし歯

    冷たいものや甘いもの、温かいものを口に含むと歯がしみる。

  • 歯のひび割れ

    歯のひび割れ

    冷たいものを口に含むと歯がしみる。亀裂が進行すると歯周病が併発し、温かいものを口に含んだり噛んだりすると歯が痛むといった症状に移行していく。

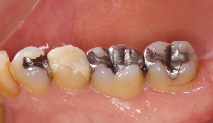
  • 被せ物・詰め物の不具合

    被せ物・詰め物の不具合

    詰め物や被せ物をしているのに歯がしみる。また、噛むと痛みが出たり、フロスが引っかかることもある。

  • 親知らずやその周辺の炎症

    親知らずやその周辺の炎症

    夜になるとドクドクとした拍動性の痛みが生じる。